🩺 대상포진 증상 초기증상 기간 치료 총정리
대상포진은 수두-대상포진 바이러스(VZV)에 의해 발생하는 질환으로, 극심한 신경통과 피부 발진을 동반하는 무서운 질환입니다. 특히 면역력이 떨어진 사람에게 발병하기 쉽고, 방치하면 대상포진 후 신경통으로 이어질 수 있어 조기 치료가 무엇보다 중요합니다.
이번 글에서는 대상포진 증상, 초기증상, 진행 기간, 치료법을 중심으로 상세히 정리해드리겠습니다.

🔎 대상포진이란?
대상포진은 어릴 적 걸렸던 수두 바이러스가 몸속 신경절에 잠복해 있다가 면역력이 약해질 때 재활성화되면서 생깁니다.
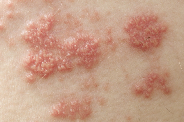
주요 특징은 한쪽 신경을 따라 띠 모양의 수포와 심한 통증이 나타나는 것입니다.
특히 50세 이상 중장년층, 당뇨나 암 환자, 면역억제제 복용자에게서 발병률이 높습니다.
⚡ 대상포진 초기증상
대상포진은 조기 진단이 매우 중요합니다. 하지만 초기에 일반 감기나 근육통과 혼동하기 쉬워 놓치는 경우가 많습니다. 대표적인 대상포진 초기증상은 다음과 같습니다.
- 피부 통증 – 칼로 베는 듯한 통증, 화끈거림, 저림
- 피부 발진 전 증상 – 피부가 간질간질하고 욱신거림
- 피로와 발열 – 몸살감기와 유사한 피곤함, 37~38도 미열
- 국소적 통증 – 특정 부위만 유독 아프고 예민해짐
👉 초기에는 발진이 없더라도 통증이 한쪽 신경을 따라 지속된다면 대상포진을 의심해야 합니다.
🩹 대상포진 증상 진행 단계
대상포진은 보통 다음과 같은 단계로 진행됩니다.
- 잠복기 (1~3일)
- 피부 통증, 근육통, 가려움 발생
- 발진기 (3~5일)
- 붉은 반점이 나타나고 작은 수포가 띠 모양으로 퍼짐
- 수포·통증 심화기 (1~2주)
- 수포가 터지고 딱지가 생김
- 통증이 극심해지는 시기
- 회복기 (2~4주)
- 딱지가 떨어지고 흉터가 남음
- 일부 환자는 신경통이 지속됨 (대상포진 후 신경통)
🕒 대상포진 증상 기간
대상포진은 보통 2~4주 정도 지속됩니다. 하지만 개인의 면역 상태, 치료 시작 시점에 따라 달라집니다.
- 조기 치료 시 : 2주 내 호전
- 치료 지연 시 : 1달 이상 지속, 신경통 동반
- 고위험군(노인·당뇨 환자) : 후유증 위험 ↑
👉 따라서 초기 증상이 보이면 즉시 병원을 방문해 항바이러스제를 복용해야 합니다.
💊 대상포진 치료 방법
대상포진 치료는 조기에 시작할수록 효과가 큽니다. 보통 발진 발생 72시간 이내 치료가 핵심입니다.
1. 약물 치료
- 항바이러스제 (아시클로버, 발라시클로버 등) → 바이러스 증식 억제
- 진통제·소염제 → 통증 완화
- 스테로이드제 → 심한 염증·부종 완화
2. 통증 치료
- 신경차단술, 경피신경자극술(TENS) 등 활용
- 만성 통증 시 신경통 약물 병행
3. 생활 관리
- 충분한 수분 섭취
- 규칙적인 수면과 면역력 강화
- 스트레스 최소화
🍎 대상포진에 좋은 음식
대상포진은 면역력 강화가 핵심이므로, 영양 관리가 중요합니다.
- 단백질 : 닭가슴살, 두부, 달걀
- 비타민C : 감귤, 파프리카, 딸기
- 비타민B군 : 현미, 견과류, 시금치
- 아연 : 굴, 호박씨
👉 항산화 식품과 단백질을 골고루 섭취하면 회복에 도움이 됩니다.
🚫 대상포진에 나쁜 음식
대상포진 시 피해야 할 음식도 있습니다.
- 자극적인 음식 : 매운 음식, 튀김류
- 당분 많은 음식 : 케이크, 과자, 탄산음료
- 알코올 & 카페인 : 면역력 저하, 수면 방해
- 가공식품 : 햄, 소시지, 인스턴트
👉 면역 회복을 늦추고 통증을 악화시킬 수 있으므로 피하는 것이 좋습니다.
🏃 대상포진 예방 및 생활 습관
대상포진은 한 번 걸리면 후유증이 오래가므로 예방이 중요합니다.
- 예방접종 – 50세 이상은 대상포진 백신 권장
- 규칙적인 운동 – 걷기, 요가, 스트레칭
- 면역력 관리 – 충분한 수면, 영양 관리
- 스트레스 관리 – 과로·심리적 스트레스 최소화
✅ 정리 : 대상포진 조기 발견과 치료가 핵심
- 대상포진 초기증상 : 통증, 가려움, 발열
- 대상포진 증상 기간 : 평균 2~4주
- 치료 핵심 : 항바이러스제는 72시간 내 복용
- 좋은 음식 & 생활습관 : 면역력 강화 필수
👉 대상포진은 조기에 발견하고 치료하면 후유증을 최소화할 수 있습니다. 특히 대상포진 초기증상이 나타날 때 빠른 대처가 무엇보다 중요합니다.
※ 본 블로그의 의학 및 약물 정보는 참고용일 뿐이며, 전문적인 의료 조언을 대신하지 않습니다. 건강 관련 결정은 반드시 전문가와 상담 후에 하시기 바랍니다. 본 블로그는 정보 사용에 따른 책임을 지지 않습니다.
'건강한 삶' 카테고리의 다른 글
| 🩺 혈압낮추는법 완벽 가이드 | 고혈압 관리와 자연스럽게 혈압 낮추는 방법 (1) | 2025.08.23 |
|---|---|
| 💊 소염제 뜻, 효과, 부작용, 종류, 항생제와 차이, 약국 소염제 총정리 (1) | 2025.08.23 |
| 🎯 뮤코라민정 효능·부작용·용법·항생제 상호작용 총정리 | 약국에서 구매 가능한가요? (0) | 2025.08.22 |
| 🚨 방광염 증상·원인·치료 완벽 가이드: 예방부터 회복까지 (2) | 2025.08.22 |
| 🚑 신우신염 증상과 원인, 치료 및 예방법 총정리 (0) | 2025.08.22 |